110 E 40th St Suite 406 New York

(212) 953 - 1544

Working Hours Monday - Friday 08:00-16:00
Toll Free 1800.899.900

A Premier Cosmetic Dentist in NYC

Learn More

"Dr. Fox has transformed the smiles of some of the world's best known celebrities, executives and politicians."

A Premier Cosmetic Dentist in NYC

Learn More

"Dr. Fox has transformed the smiles of some of the world's best known celebrities, executives and politicians."

Exquisite
Results

Dr. Fox is the ONLY Doctor in the United States who taught cosmetic dentistry, and served on the faculties of The Harvard School of Dental Medicine, The NYU School of Dentistry, as an Officer of Harvard University and on a tech board at the University of Pennsylvania. He has frequently appeared on national and international television and has been featured in hundreds of newspapers and magazines. Dr. Fox was honored by Senators, with the United States Medal of Freedom and was the recipient of the Ernst and Young Entrepreneur of the Year Award for developing dental products as founder and chairman of Enamelon, Inc. (sold to Church and Dwight).

ABOUT DR. FOX

DR. FOX IS A PREMIER COSMETIC DENTIST IN NYC. HIS AGE-DEFYING VENEERS AND CROWNS HAVE TRANSFORMED THE SMILE OF SOME OF THE WORLD'S BEST KNOWN PUBLIC FIGURES IN JUST TWO OFFICE VISITS.

Dr. Fox is a world-renowned cosmetic dentist treating patients in New York City. Dr. Fox is an ICON in the dental profession. In partnership with the United States Government and the American Dental Association, he developed many of the products used in oral care today. He is nationally and internationally recognized for revolutionizing oral care. Dr. Fox employed a Nobel Prize winner in Chemistry, The Asst. Surgeon General of The United States, and The Dean of The Harvard School of Dental Medicine.

Read More

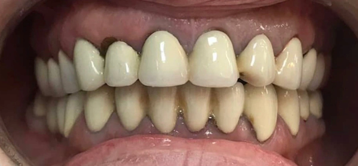
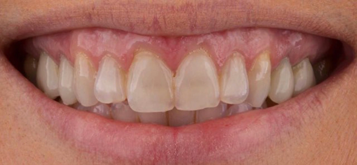
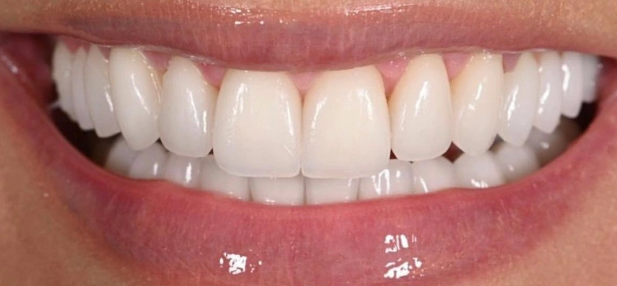
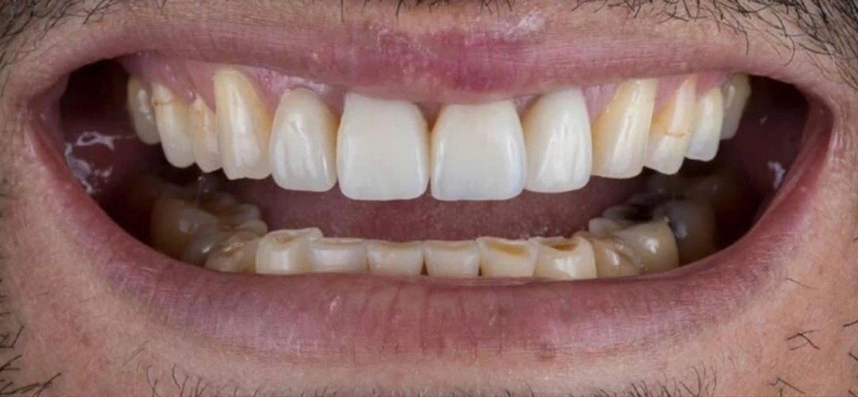
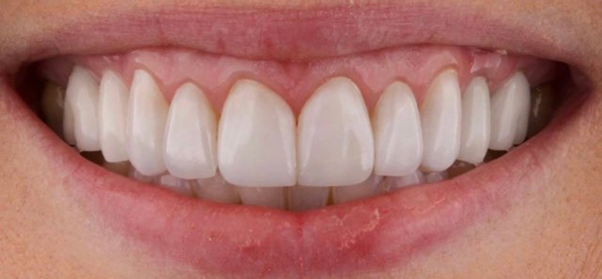
VENEERS

Unlike a crown, which covers the entire tooth, a veneer is a thin shell that is placed over the front or visible parts of the tooth. There are two types of veneers, ceramic veneers that are produced by a dental laboratory and resin-based composite veneers. With proper care, your new veneers will greatly improve your appearance and increase your confidence for years to come.

Dr. Fox believes in a natural looking smile. He has placed thousands of veneers in his career. At his Manhattan location in New York City, he transforms the smiles and faces of celebrities, world leaders, models , the business elite, and every day working men and women. The cosmetic practice is known worldwide for placing veneers that transform your smile,building self-esteem. If your smile is embarrassing Dr. Fox will restore your confidence!

Learn More About Fox Slip-On Veneers

Learn More About Porcelain Veneers

PORCELAIN VENEERS

Learn More

BREATH TREATMENT

Learn More

FOX SLIP-ON VENEERS

Learn More

Dr. Fox has transformed the smiles of some of the world's best known
celebrities, executives and politicians.

We have recently added a financing company called Cherry to help patients pay for their oral care. Applications can be submitted at our front desk with immediate feedback.

Blogs

Dr. Fox Transforms Smiles

Dr. Fox's Latests News

Akelos Inc. Receives Chinese Patent For Its Lead Compound

Akelos Inc., a biotechnology company currently developing and commercializing a novel, non-opioid anti- hyperalgesic...

View More

Akelos Inc. Receives Prestigious Grant From NINDS Of The National Institute Of Health

Akelos Inc. has been awarded a Phase I/II Fast-Track Small Business Technology Transfer (STTR) grant...

View More

Dr. Steven R Fox, Cosmetic Dentist to the World's Leaders, Prepares for UN Week in New York City

Dr. Fox establishes protocols and security measures as dignitaries and heads of state prepare to come to...

View More

Dr. Steven Fox Featured in Social Life Magazine

Dr. Fox is called upon by a who’s who of royals, celebrities, and other luminaries to complete the perfect veneers, whitening...

View More

Dr. Steven Fox, Dentist to the Stars Works Closely With His State of the Art Veneer Ceramists

Dr. Fox previously developed calcium products with the American Dental Association, the Federal Government, and a Nobel Prize Winner...

Dr. Steven Fox the Premier Cosmetic Dentist in New York City Has Celebrated His 40th Year in Practice

Dr. Fox is thrilled to celebrate his 40th year in business on Park Avenue. . .

Dr. Steven Fox, New York City's Premier Cosmetic Dentist, is Now Using New Bonding Agents to Place Veneers

The Newest Generation of Bonding Agents is a Major Advance for the Placement of Veneers and Allows People to...

Dr. Steven Fox, Cosmetic Dentist to the World's Leaders, Uses Remineralizing Technique to Strengthen Teeth After Veneer Placement

Dr. Fox previously developed calcium products with the American Dental Association. . .

NIH funding goes to Akelos, Weill Cornell Medicine for development of nonopioid chronic pain treatment

Researchers seeking to develop a nonopioid alternative for treating neuropathic pain have received a $1,757,406...

Dr. Steven Fox, an Icon in Cosmetic Dentistry, Utilizes Digital Measurement for Veneer Design

The use of digital design is an important advancement in dental and facial
cosmetics...

Dr. Steven Fox, Cosmetic Dentist to the World's Leaders, Addresses the Positive Social and Psychological Impact of New Veneers

Dr. Fox previously instructed on veneer insertion at Harvard University and NYU and noted the...